Skip to main content
Lakeside Dental
Request an Appointment
Like us on Facebook
Follow us on Twitter
Visit us on Yelp
Leave a Google Review
Yahoo
(281) 326-7117
3120 Nasa Parkway
Menu
Call
Book Now
Map
Home
About
Our Team
Office Pictures
Services
View All
Cleanings and Recare Appointments
Dental X-rays
Sealants
Tooth Whitening (Bleaching)
Wisdom Tooth Removal
Sedation
Periodontal Treatment (Including Scaling and Root Planing)
Cosmetic Dentistry
Porcelain Veneers
Bone Graft
Orthodontics
Smile Gallery
Testimonials
Forms
Financial
Contact
Lakeside Dental
>
Smile Gallery
>
Sports Injury
Sports Injury
Return to Smile Gallery
Previous
Next
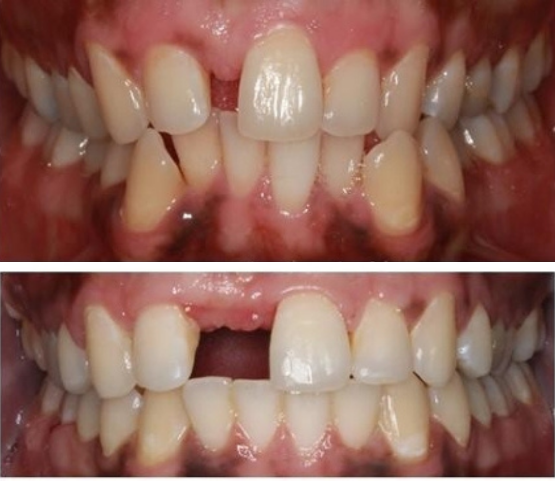
A basketball injury at age 15 left the patient without a front tooth. Comprehensive orthodontics, an implant, and a crown to replace missing front tooth gave him improved self-confidence and smile.
Related Services:
Cosmetic Dentistry
Orthodontics
Place mouse over picture to pause
Before
After
Before
Ready to book an appointment?
Schedule Now
OK!
×
×
Contact Us Today
Give Us A Call
Lakeside Dental -
(281) 326-7117
Send Us an Email
Request an Appointment
Contact Us
Ready to Schedule an Appointment?
Book Now
Have Questions? Contact Us:
Full Name
* (Req)
Phone
Email
* (Req)
Are you a?
New Patient
Current Patient
How would you like us to contact you?
Please choose
Email
Call
How did you hear about us?
Please choose
I'm an existing patient
Google/Bing
Mailer
Word of mouth
Social media
Other
Who Referred You?:
Appointment Preferences
Monday
Tuesday
Wednesday
Thursday
Additional Comments
This site is protected by reCAPTCHA and the Google
Privacy Policy
and
Terms of Service
apply.
Required Field
Sending...
×
This Patient's Experience
Loading Testimonial...
Loading Case...