Lakeside Dental

Dental bonding

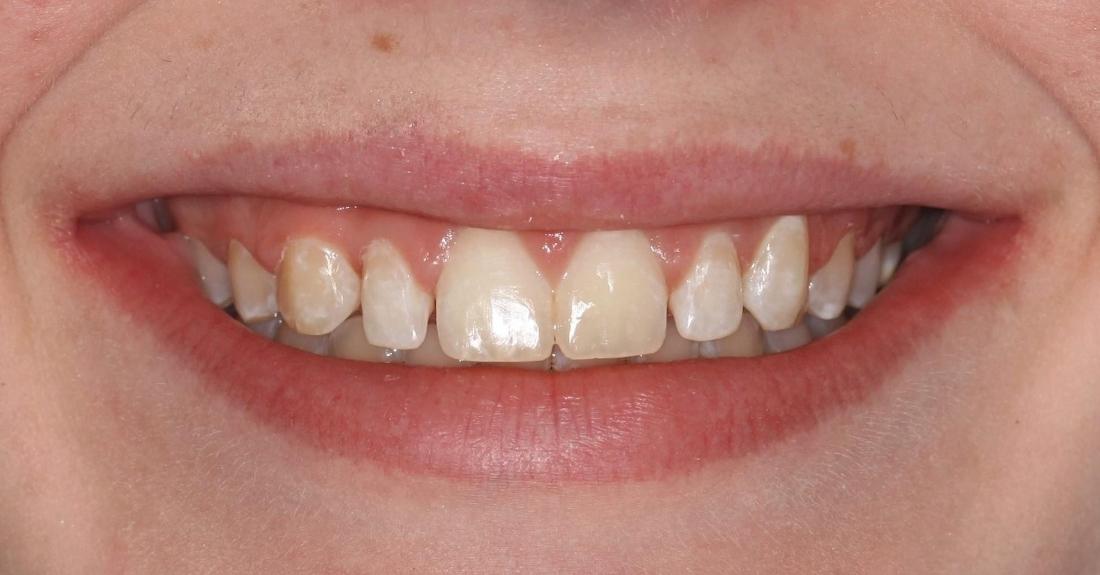
This young patient had disproportionately small upper lateral incisors bonded to ideal dimensions immediately after having her braces removed. 'Bonding' consists of sculpting tooth colored resin chairside in one visit. It is a more timely alternative to lab fabricated porcelain veneers in certain situations. 

Getting an appointment is fast and easy!
If you have difficulty using our website, please email us or call us at (281) 326-7117