Lakeside Dental

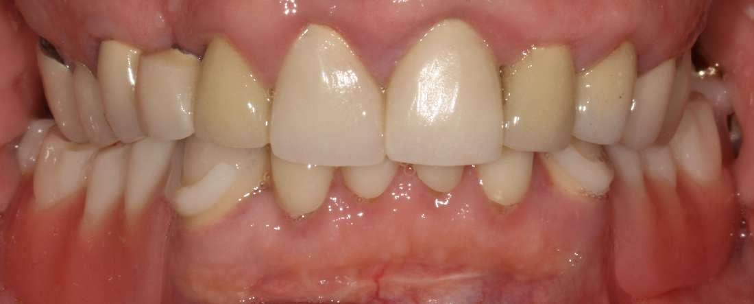
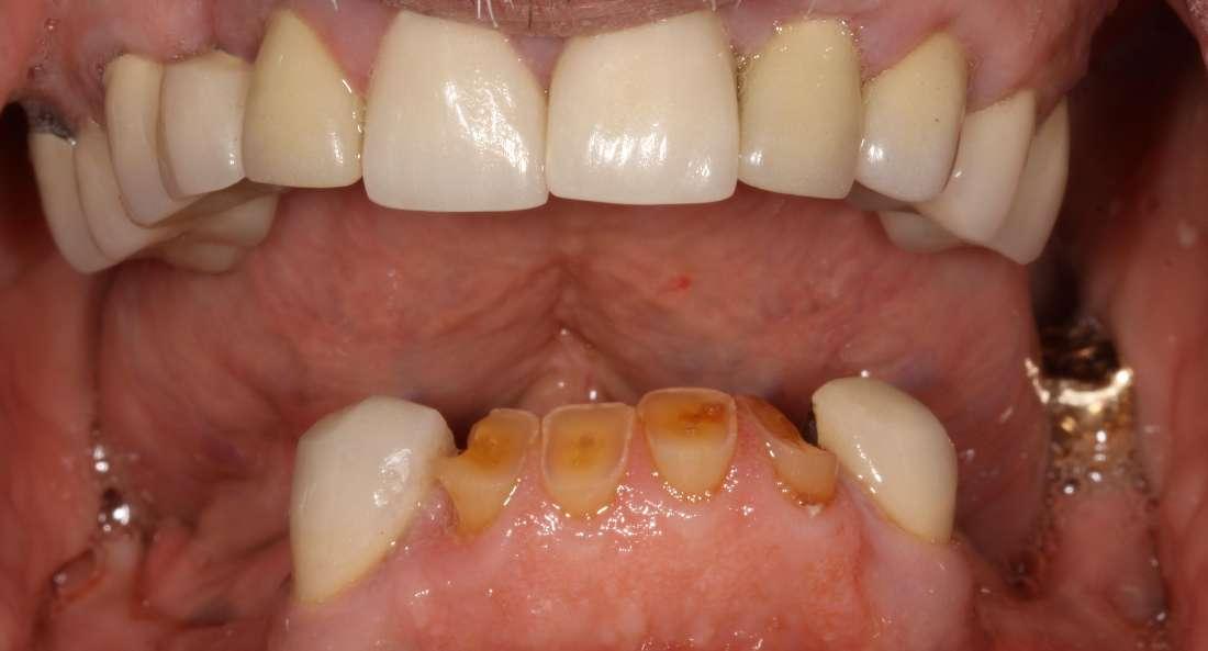
Lower teeth rehabilitation

Excessive lower tooth wear due to missing lower back teeth causing shortened front teeth. Treated with crown lengthening gum surgery, new crowns, and a lower partial denture replacing missing back teeth. Patient was very pleased to have his smile and function restored. 

Not finding what you need?
If you have difficulty using our website, please email us or call us at (281) 326-7117